Основы
Категории
Рак и лимфатическая система

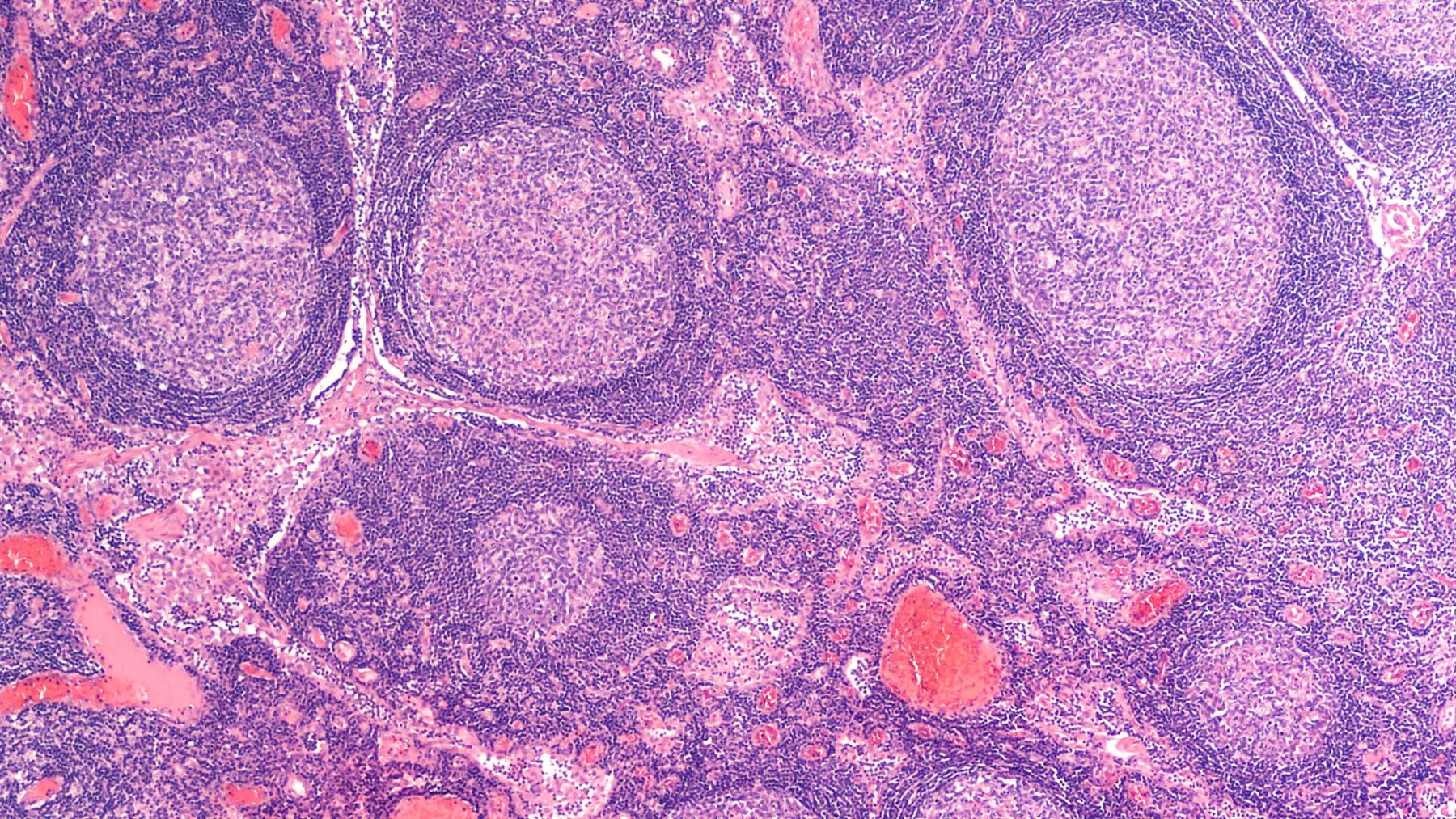
Лимфатические узлы представляют собой важнейшую часть периферической иммунной системы. В организме их насчитывается более 500, они объединены в группы и сопровождают лимфатические сосуды, по которым лимфа оттекает из различных органов. Каждый из лимфоузлов состоит из нескольких функциональных зон:
-
лимфоидных узелков, представленных В-клетками;
-
паракортикальной зоны, где находятся Т-лимфоциты, проходящие антиген-зависимую дифференцировку;
-
мозгового вещества, в которое мигрируют B-лимфоциты и где они дифференцируются в плазматические клетки-продуценты иммуноглобулинов (антител).
Как рак распространяется по лимфатической системе
Раковая опухоль любой локализации может давать метастазы в лимфоузлы. Это происходит, когда злокачественное новообразование растет, клетки вымываются тканевой жидкостью и попадают в лимфатические капилляры.
Оттуда вместе с лимфой по лимфатическим сосудам они направляются в ближайшие лимфоузлы. Узлы, которые расположены близко к опухоли, называют сторожевыми.
Там раковые клетки оседают, частично обезвреживаются, а часть клеток размножается и образует вторичный опухолевый очаг – метастаз в лимфоузел. Постепенно он растет и защитные клетки какой-то период времени, окружая его, не дают возможность продвигаться раковым клеткам дальше. На время злокачественный процесс локализуется и в зависимости от степени злокачественности опухоли может занять от нескольких месяцев до нескольких лет. Когда метастаз увеличивается, его клетки проникают в лимфу и проходящий лимфатический сосуд, направляясь в отдаленный лимфоузел. На некоторое время рак снова локализуется, образуя метастаз, который затем распространяет раковые клетки уже в крупные центральные лимфоузлы, которые расположены вдоль крупных сосудов, в забрюшинном пространстве.
Защитная функция лимфоузлов при онкологическом заболевании
Если лимфоузлов не было бы на пути движения лимфатической жидкости, которая содержит раковые клетки, они бы тут же попадали в грудной лимфатический проток, оттуда в кровеносное русло, и распространялись бы с кровью по органам, образуя там отдаленные метастазы.
Именно лимфатические узлы способны удерживать опухолевый процесс на более или менее длительный период, тем самым давая возможность «выиграть время», за которое можно провести эффективное лечение и предупредить переход заболевания в метастатическую стадию.
Установлена прямая зависимость размера лимфоузлов при онкологическом заболевании.
По данным мировой онкологической статистики:
-
у 12% больных выявлены метастазы в лимфоузлы с опухолью размером до 2 см,
-
у 32% - с опухолью от 2 до 3 см,
-
у 50% - с диаметром опухоли 3-4 см,
-
у 65% - с размером опухоли 4-6 см,
-
у 90% больных с опухолями более 6 см.

Определение стадии рака по метастазам в лимфоузлах
Помимо размера опухоли в международной классификации рака, немаловажным критерием является степень поражения метастазами лимфатических узлов.
Данный признак обозначается символом N (от латинского слова “nodus” – узел):
-
N0 - метастазов в лимфоузлах не обнаруживается (при раке 1 стадии);
-
N1 - единичные метастазы в ближайших лимфоузлах(при раке 2 стадии);
-
N2 - несколько метастазов в регионарных (ближайших) лимфоузлах (при раке 3 стадии);
-
N3 - поражены метастазами и регионарные, и отдаленные лимфоузлы (при раке 4 стадии).
Символом Nх в диагнозе обозначается отсутствие уточненных данных о поражении лимфоузлов.
Это общие представления, однако для каждого вида злокачественного новообразования существуют разные варианты в зависимости от анатомии и количества групп лимфоузлов возле больного органа (N2а, N2b и т.д.).